中文名稱: 兔抗GFRA4多克隆抗體
|
Background: |
The protein encoded by this gene is a member of the GDNF receptor family. It is a glycosylphosphatidylinositol(GPI)-linked cell surface receptor for persephin, and mediates activation of the RET tyrosine kinase receptor. This gene is a candidate gene for RET-associated diseases. Alternatively spliced transcript variants encoding different isoforms have been described for this gene. |
|
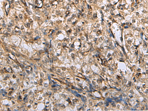
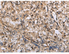
Applications: |
ELISA, IHC |
|
Name of antibody: |
GFRA4 |
|
Immunogen: |
Synthetic peptide of human GFRA4 |
|
Full name: |
GDNF family receptor alpha 4 |
|
SwissProt: |
Q9GZZ7 |
|
ELISA Recommended dilution: |
5000-10000 |
|
IHC positive control: |
Human brain |
|
IHC Recommend dilution: |
50-200 |

購物車
幫助
021-54845833/15800441009
