中文名稱: 兔抗TYRP1多克隆抗體
技術規格
|
Background: |
This gene encodes a melanosomal enzyme that belongs to the tyrosinase family and plays an important role in the melanin biosynthetic pathway. Defects in this gene are the cause of rufous oculocutaneous albinism and oculocutaneous albinism type III. |
|
Applications: |
ELISA, IHC |
|
Name of antibody: |
TYRP1 |
|
Immunogen: |
Synthetic peptide of human TYRP1 |
|
Full name: |
tyrosinase-related protein 1 |
|
Synonyms: |
TRP; CAS2; CATB; GP75; OCA3; TRP1; TYRP; b-PROTEIN |
|
SwissProt: |
P17643 |
|
ELISA Recommended dilution: |
5000-10000 |
|
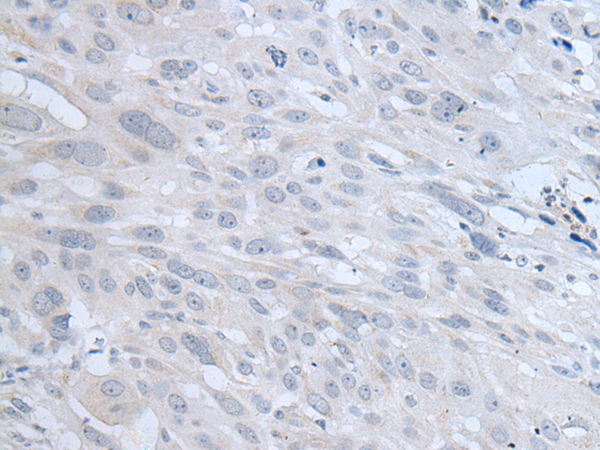
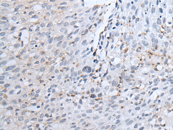
IHC positive control: |
Human esophagus cancer and human lung cancer |
|
IHC Recommend dilution: |
20-100 |

購物車
幫助
021-54845833/15800441009
