中文名稱: 兔抗AIMP2多克隆抗體
英文名稱: Anti-AIMP2 rabbit polyclonal antibody
別 名: P38, JTV1, JTV-1
相關類別: 一抗
抗 原: AIMP2
儲 存: 冷凍(-20℃)
宿 主: Rabbit
反應種屬: Human, Mouse, Rat
標 記 物: Unconjugate
克隆類型: rabbit polyclonal
技術規格
|
Background: |
The JTV1 gene is located on chromosome 7p22 flanked by two genes, HRI and PMS2. JTV1 and HRI overlap slightly and are arranged in a tail-to-tail fashion. JTV1 and PMS2 are separated by approximately 200 base pairs and are arranged head-to-head. JTV1 is transcribed in the opposite direction compared to HRI and PMS2. The function of the JTV1 gene product is unknown. |
|
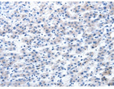
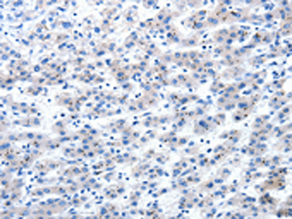
Applications: |
ELISA, WB, IHC |
|
Name of antibody: |
AIMP2 |
|
Immunogen: |
Fusion protein of human AIMP2 |
|
Full name: |
Aminoacyl tRNA synthase complex-interacting multifunctional protein 2 |
|
Synonyms: |
P38, JTV1, JTV-1 |
|
SwissProt: |
Q13155 |
|
ELISA Recommended dilution: |
500-2000 |
|
IHC positive control: |
Human liver cancer |
|
IHC Recommend dilution: |
10-50 |
|
WB Predicted band size: |
35 kDa |
|
WB Positive control: |
Hela, HepG2, MCF-7 and HT-29 cells |
|
WB Recommended dilution: |
200-1000 |
購物車
幫助
021-54845833/15800441009
