英文名稱: Anti-CDH2 rabbit polyclonal antibody
別 名: cadherin 2; CDHN; NCAD; CD325; CDw325
相關類別: 一抗
儲 存: 冷凍(-20℃)
宿 主: Rabbit
抗 原: CDH2
標 記 物: Unconjugate
克隆類型: rabbit polyclonal
技術規格
|
Background: |
This gene encodes a classical cadherin and member of the cadherin superfamily. Alternative splicing results in multiple transcript variants, at least one of which encodes a preproprotein is proteolytically processed to generate a calcium-dependent cell adhesion molecule and glycoprotein. This protein plays a role in the establishment of left-right asymmetry, development of the nervous system and the formation of cartilage and bone. |
|
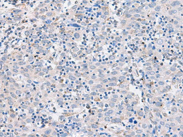
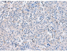
Applications: |
ELISA, IHC |
|
Name of antibody: |
CDH2 |
|
Immunogen: |
Synthetic peptide of human CDH2 |
|
Full name: |
cadherin 2 |
|
Synonyms: |
CDHN; NCAD; CD325; CDw325 |
|
SwissProt: |
P19022 |
|
ELISA Recommended dilution: |
5000-10000 |
|
IHC positive control: |
Human cervical cancer |
|
IHC Recommend dilution: |
20-100 |

購物車
幫助
021-54845833/15800441009
