中文名稱:兔抗CNTD2多克隆抗體
英文名稱:Anti-CNTD2 rabbit polyclonal antibody
別 名:CCNP
抗 原:CNTD2
儲 存:冷凍(-20℃) 避光
宿 主:Rabbit
反應種屬:Human
相關類別:一抗
標 記 物:Unconjugate
克隆類型:Unconjugate
技術規格
|
Background: |
2 isoforms of the human protein are produced by alternative splicing. |
|
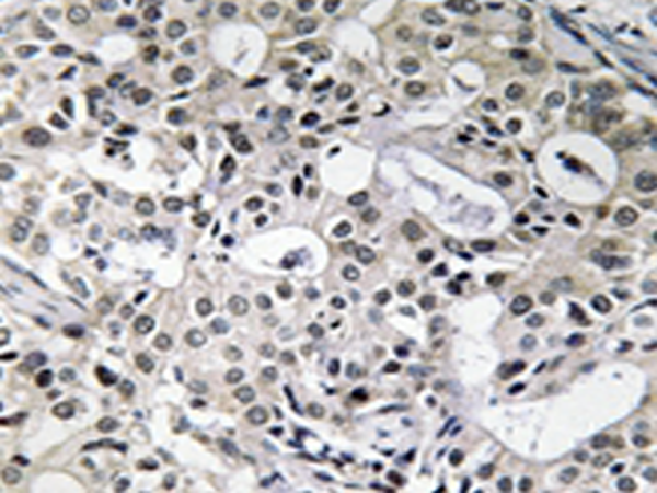
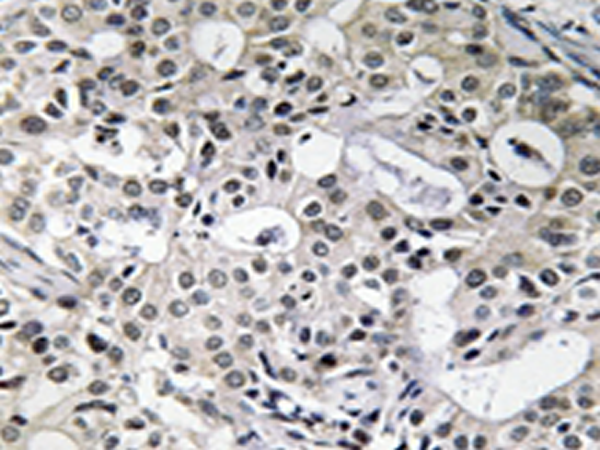
Applications: |
IHC |
|
Name of antibody: |
CNTD2 |
|
Immunogen: |
Synthesized peptide derived from internal of human CNTD2. |
|
Full name: |
cyclin N-terminal domain containing 2 |
|
Synonyms: |
CCNP |
|
SwissProt: |
Q9H8S5 |
|
IHC positive control: |
Human breast carcinoma tissue |
|
IHC Recommend dilution: |
50-100 |
購物車
幫助
021-54845833/15800441009
