抗 原: IL23R
相關類別: 一抗
反應種屬: Human
標 記 物: Unconjugate
克隆類型: rabbit polyclonal
技術規格
|
Background: |
The protein encoded by this gene is a subunit of the receptor for IL23A/IL23. This protein pairs with the receptor molecule IL12RB1/IL12Rbeta1, and both are required for IL23A signaling. This protein associates constitutively with Janus kinase 2 (JAK2), and also binds to transcription activator STAT3 in a ligand-dependent manner. |
|
Applications: |
ELISA, IHC |
|
Name of antibody: |
IL23R |
|
Immunogen: |
Fusion protein of human IL23R |
|
Full name: |
Interleukin-23 receptor |
|
SwissProt: |
Q5VWK5 |
|
ELISA Recommended dilution: |
500-5000 |
|
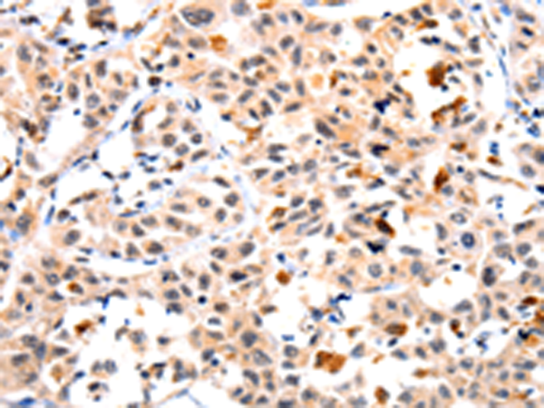
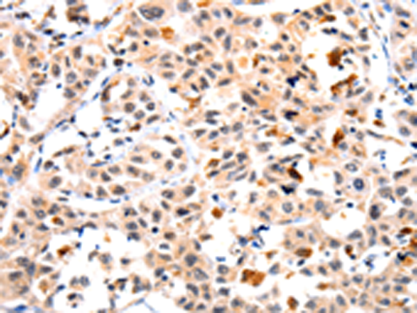
IHC positive control: |
Human lung cancer |
|
IHC Recommend dilution: |
10-50 |

購物車
幫助
021-54845833/15800441009
