|
Background: |
Coronins, such as CORO7, constitute an evolutionarily conserved family of WD-repeat actin-binding proteins. CORO7 plays a role in Golgi complex morphology and function. |
|
Applications: |
ELISA, IHC |
|
Name of antibody: |
CORO7 |
|
Immunogen: |
Fusion protein corresponding to a region derived from 726-925 amino acids of human CORO7 |
|
Full name: |
coronin 7 |
|
Synonyms: |
CRN7; POD1; 0610011B16Rik |
|
SwissProt: |
P57737 |
|
ELISA Recommended dilution: |
5000-10000 |
|
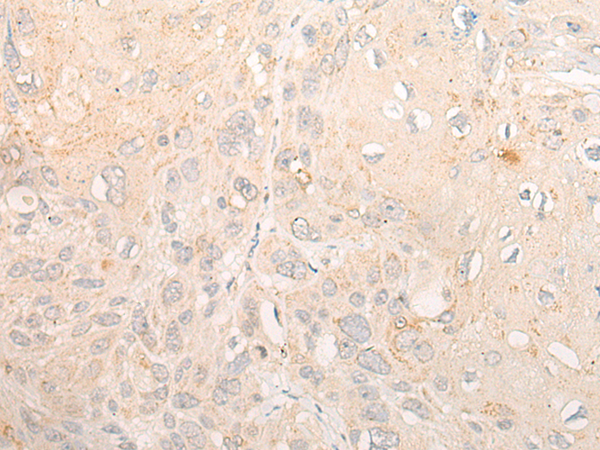
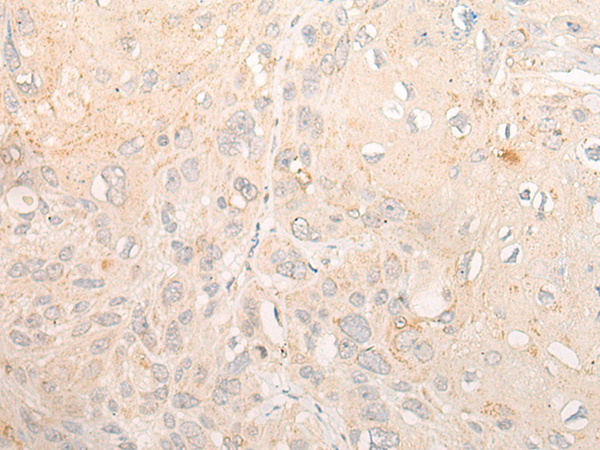
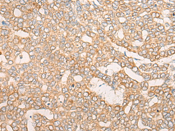
IHC Positive control: |
Human liver cancer;Human esophagus cancer |
|
IHC Recommended dilution: |
25-100 |

購物車
幫助
021-54845833/15800441009
