中文名稱: 兔抗MAP1B 多克隆抗體
英文名稱:Anti-MAP1B rabbit polyclonal antibody
別 名: MAP5; FUTSCH
相關類別:一抗
儲 存: 冷凍(-20℃)
宿 主: Rabbit
抗 原: MAP1B
反應種屬:Human, Mouse, Rat
標 記 物:Unconjugate
克隆類型:rabbit polyclonal
Background:
This gene encodes a protein that belongs to the microtubule-associated protein family. The proteins of this family are thought to be involved in microtubule assembly, which is an essential step in neurogenesis. The product of this gene is a precursor polypeptide that presumably undergoes proteolytic processing to generate the final MAP1B heavy chain and LC1 light chain. Gene knockout studies of the mouse microtubule-associated protein 1B gene suggested an important role in development and function of the nervous system.
Applications:
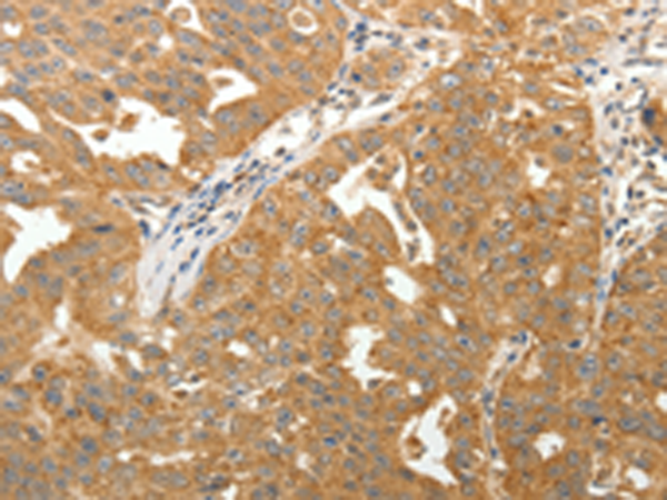
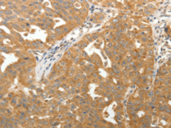
ELISA, IHC
Name of antibody:
MAP1B
Immunogen:
Synthetic peptide of human MAP1B
Full name:
microtubule-associated protein 1B
Synonyms:
MAP5; FUTSCH
SwissProt:
P46821
ELISA Recommended dilution:
3000-10000
IHC positive control:
Human ovarian cancer and Human lung cancer
IHC Recommend dilution:
50-200
技術規格

購物車
幫助
021-54845833/15800441009
