中文名稱:兔抗CPNE7多克隆抗體
|
Background: |
This gene encodes a member of the copine family, which is composed of calcium-dependent membrane-binding proteins. The gene product contains two N-terminal C2 domains and one von Willebrand factor A domain. The encoded protein may be involved in membrane trafficking. Two alternatively spliced transcript variants encoding different isoforms have been found for this gene. |
|
Applications: |
ELISA, IHC |
|
Name of antibody: |
CPNE7 |
|
Immunogen: |
Fusion protein of human CPNE7 |
|
Full name: |
copine 7 |
|
SwissProt: |
Q9UBL6 |
|
ELISA Recommended dilution: |
5000-10000 |
|
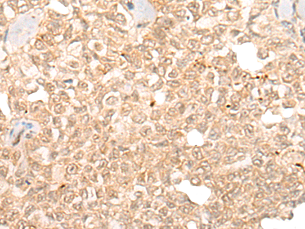
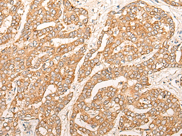
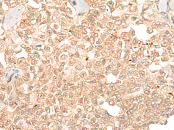
IHC positive control: |
Human liver cancer and Human ovarian cancer |
|
IHC Recommend dilution: |
25-100 |

購物車
幫助
021-54845833/15800441009
