|
Background: |
The protein encoded by this gene is part of a complex of proteins that constitute adherens junctions (AJs). AJs are necessary for the creation and maintenance of epithelial cell layers by regulating cell growth and adhesion between cells. The encoded protein also anchors the actin cytoskeleton and may be responsible for transmitting the contact inhibition signal that causes cells to stop dividing once the epithelial sheet is complete. Finally, this protein binds to the product of the APC gene, which is mutated in adenomatous polyposis of the colon. Mutations in this gene are a cause of colorectal cancer (CRC), pilomatrixoma (PTR), medulloblastoma (MDB), and ovarian cancer. Three transcript variants encoding the same protein have been found for this gene. |
|
Applications: |
WB, IHC |
|
Name of antibody: |
CTNNB1 (Phospho-Ser37) |
|
Immunogen: |
Synthetic peptide of human CTNNB1 (Phospho-Ser37) |
|
Full name: |
catenin (cadherin-associated protein), beta 1, 88kDa (Phospho-Ser37) |
|
Synonyms: |
CTNNB; MRD19; armadillo |
|
SwissProt: |
P35222 |
|
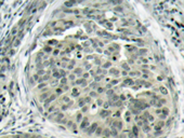
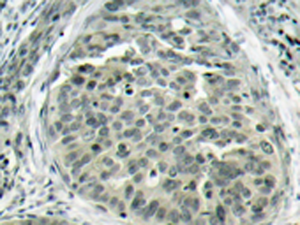
IHC positive control: |
Human breast carcinoma |
|
IHC Recommend dilution: |
50-100 |
|
WB Predicted band size: |
92 kDa |
|
WB Positive control: |
HT29 cells |
|
WB Recommended dilution: |
500-1000 |

購物車
幫助
021-54845833/15800441009
