中文名稱:兔抗CPSF4多克隆抗體
|
Background: |
Inhibition of the nuclear export of poly(A)-containing mRNAs caused by the influenza A virus NS1 protein requires its effector domain. The NS1 effector domain functionally interacts with the cellular 30 kDa subunit of cleavage and polyadenylation specific factor 4, an essential component of the 3' end processing machinery of cellular pre-mRNAs. In influenza virus-infected cells, the NS1 protein is physically associated with cleavage and polyadenylation specific factor 4, 30kD subunit. Binding of the NS1 protein to the 30 kDa protein in vitro prevents CPSF binding to the RNA substrate and inhibits 3' end cleavage and polyadenylation of host pre-mRNAs. |
|
Applications: |
ELISA, IHC |
|
Name of antibody: |
CPSF4 |
|
Immunogen: |
Fusion protein of human CPSF4 |
|
Full name: |
cleavage and polyadenylation specific factor 4, 30kDa |
|
Synonyms: |
NAR; NEB1; CPSF30 |
|
SwissProt: |
O95639 |
|
ELISA Recommended dilution: |
1000-2000 |
|
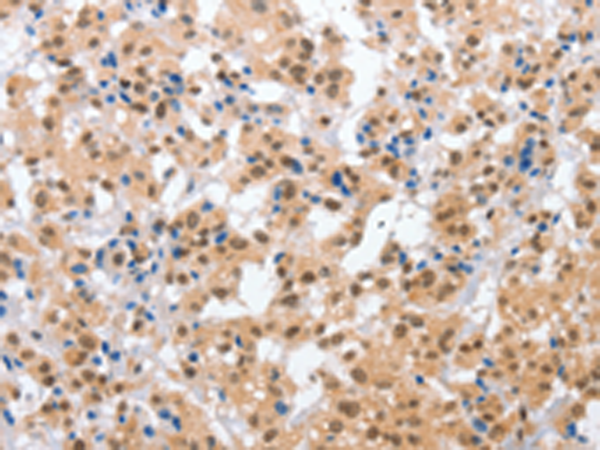
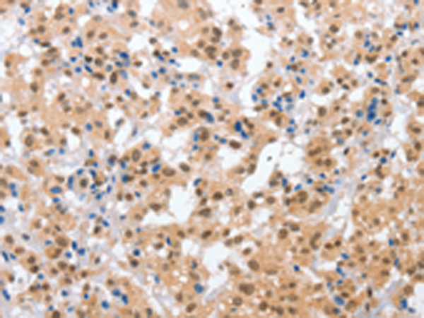
IHC positive control: |
Human thyroid cancer and human brain |
|
IHC Recommend dilution: |
25-100 |
購物車
幫助
021-54845833/15800441009
