中文名稱:兔抗CALD1多克隆抗體
英文名稱: Anti-CALD1 rabbit polyclonal antibody
別 名: CDM, HCAD, LCAD, H-CAD, L-CAD, NAG22
抗 原: CALD1
儲 存: 冷凍(-20℃)
宿 主: Rabbit
相關類別: 一抗
反應種屬: Human, Rat
標 記 物: Unconjugate
克隆類型: rabbit polyclonal
技術規格
|
Background: |
This gene encodes a calmodulin- and actin-binding protein that plays an essential role in the regulation of smooth muscle and nonmuscle contraction. The conserved domain of this protein possesses the binding activities to Ca(2+)-calmodulin, actin, tropomyosin, myosin, and phospholipids. This protein is a potent inhibitor of the actin-tropomyosin activated myosin MgATPase, and serves as a mediating factor for Ca(2+)-dependent inhibition of smooth muscle contraction. Alternative splicing of this gene results in multiple transcript variants encoding distinct isoforms. |
|
Applications: |
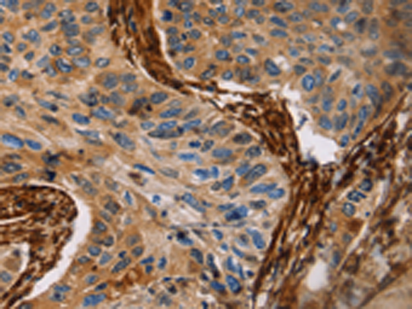
ELISA, IHC |
|
Name of antibody: |
CALD1 |
|
Immunogen: |
Fusion protein of human CALD1 |
|
Full name: |
caldesmon 1 |
|
Synonyms: |
CDM, HCAD, LCAD, H-CAD, L-CAD, NAG22 |
|
SwissProt: |
Q05682 |
|
ELISA Recommended dilution: |
1000-5000 |
|
IHC positive control: |
Human lung cancer |
|
IHC Recommend dilution: |
50-150 |

購物車
幫助
021-54845833/15800441009
