中文名稱:兔抗AKIP1多克隆抗體
英文名稱: Anti-AKIP1 rabbit polyclonal antibody
別 名: BCA3; C11orf17
相關類別: 一抗
抗 原: AKIP1
儲 存: 冷凍(-20℃)
宿 主: Rabbit
反應種屬: Human, Mouse
標 記 物: Unconjugate
克隆類型: rabbit polyclonal
技術規格
|
Background: |
This gene encodes a nuclear protein that interacts with protein kinase A catalytic subunit, and regulates the effect of the cAMP-dependent protein kinase signaling pathway on the NF-kappa-B activation cascade. Alternatively spliced transcript variants have been described for this gene. |
|
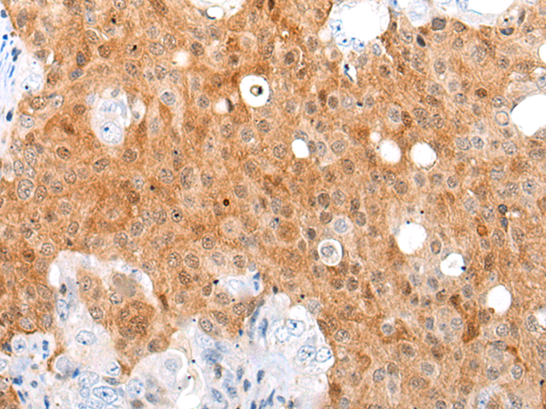
Applications: |
ELISA, IHC |
|
Name of antibody: |
AKIP1 |
|
Immunogen: |
Synthetic peptide of human AKIP1 |
|
Full name: |
A-kinase interacting protein 1 |
|
Synonyms: |
BCA3; C11orf17 |
|
SwissProt: |
Q9NQ31 |
|
ELISA Recommended dilution: |
5000-10000 |
|
IHC positive control: |
Human ovarian cancer |
|
IHC Recommend dilution: |
25-100 |
購物車
幫助
021-54845833/15800441009
