中文名稱:兔抗CRK多克隆抗體
|
Background: |
This gene encodes a member of an adapter protein family that binds to several tyrosine-phosphorylated proteins. The product of this gene has several SH2 and SH3 domains (src-homology domains) and is involved in several signaling pathways, recruiting cytoplasmic proteins in the vicinity of tyrosine kinase through SH2-phosphotyrosine interaction. The N-terminal SH2 domain of this protein functions as a positive regulator of transformation whereas the C-terminal SH3 domain functions as a negative regulator of transformation. Two alternative transcripts encoding different isoforms with distinct biological activity have been described. |
|
Applications: |
ELISA, IHC |
|
Name of antibody: |
CRK |
|
Immunogen: |
Fusion protein of human CRK |
|
Full name: |
v-crk avian sarcoma virus CT10 oncogene homolog |
|
Synonyms: |
p38; CRKII |
|
SwissProt: |
P46108 |
|
ELISA Recommended dilution: |
2000-5000 |
|
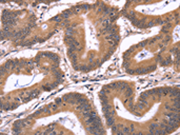
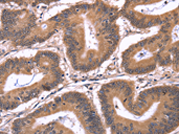
IHC positive control: |
Human colon cancer |
|
IHC Recommend dilution: |
50-200 |
購物車
幫助
021-54845833/15800441009
