|
Background: |
The protein encoded by this gene is a member of the fibroblast growth factor (FGF) family. FGF family members possess broad mitogenic and cell survival activities and are involved in a variety of biological processes including embryonic development, cell growth, morphogenesis, tissue repair, tumor growth and invasion. This gene was identified by its oncogenic transforming activity. This gene and FGF3, another oncogenic growth factor, are located closely on chromosome 11. Co-amplification of both genes was found in various kinds of human tumors. Studies on the mouse homolog suggested a function in bone morphogenesis and limb development through the sonic hedgehog (SHH) signaling pathway. |
|
Applications: |
ELISA, IHC |
|
Name of antibody: |
FGF4 |
|
Immunogen: |
Synthetic peptide of human FGF4 |
|
Full name: |
fibroblast growth factor 4 |
|
Synonyms: |
HST, KFGF, HST-1, HSTF1, K-FGF, HBGF-4 |
|
SwissProt: |
P08620 |
|
ELISA Recommended dilution: |
1000-10000 |
|
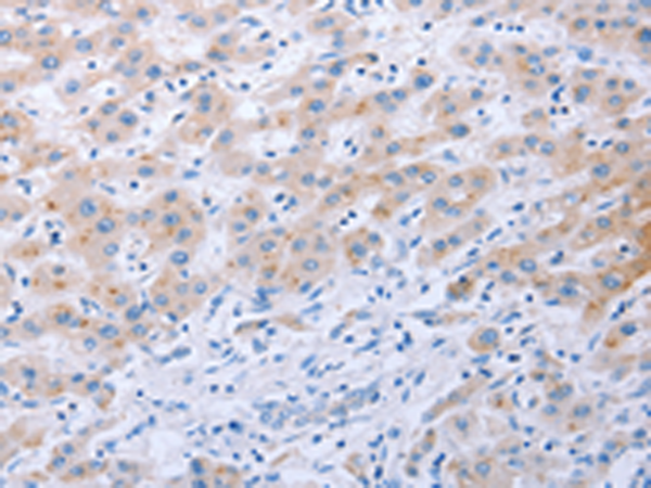
IHC positive control: |
Human liver cancer and Human thyroid cancer |
|
IHC Recommend dilution: |
50-150 |

購物車
幫助
021-54845833/15800441009
