|
Background: |
Casein Kinase I (CK1 or CKI) is the name given to a family of kinases consisting of multiple isoforms (α, α', β, γ1-3, δ, and ε) with a conserved N-terminal kinase domain and a variable C-terminal sequence that determines subcellular localization and regulates enzyme activity. |
|
Applications: |
ELISA, WB, IHC |
|
Name of antibody: |
CSNK1A1 |
|
Immunogen: |
Synthetic peptide of human CSNK1A1 |
|
Full name: |
casein kinase 1, alpha 1 |
|
Synonyms: |
CK1; CK1a; CKIa; HLCDGP1; PRO2975; HEL-S-77p |
|
SwissProt: |
P48729 |
|
ELISA Recommended dilution: |
1000-2000 |
|
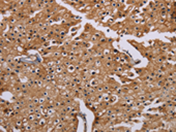
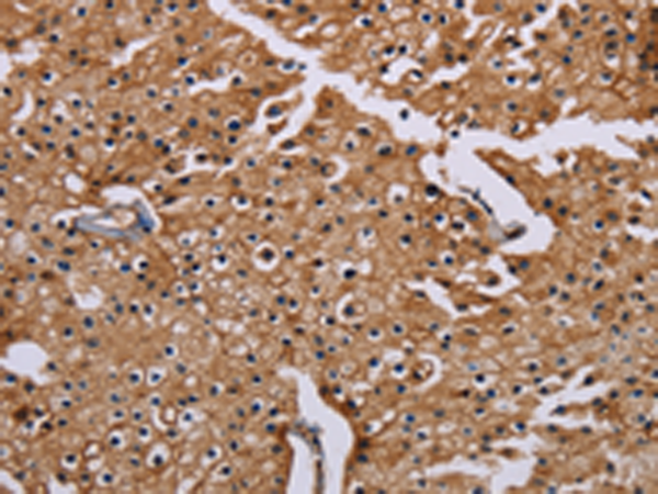
IHC positive control: |
Human prostate cancer and Human brain |
|
IHC Recommend dilution: |
25-100 |
|
WB Predicted band size: |
39 kDa |
|
WB Positive control: |
A549 cells |
|
WB Recommended dilution: |
200-1000 |

購物車
幫助
021-54845833/15800441009
