中文名稱:兔抗CSNK1A1/1L多克隆抗體
|
Background: |
Casein kinases are operationally defined by their preferential utilization of acidic proteins such as caseins as substrates. It can phosphorylate a large number of proteins. Participates in Wnt signaling By similarity. |
|
Applications: |
IHC, IF |
|
Name of antibody: |
CSNK1A1/1L |
|
Immunogen: |
Synthesized peptide derived from internal of human CKI-α1/L. |
|
Full name: |
casein kinase 1, alpha 1/1-like |
|
Synonyms: |
CK1; CK1a; CKIa; HLCDGP1; PRO2975; HEL-S-77p/CK1 |
|
SwissProt: |
Q8N752/P48729 |
|
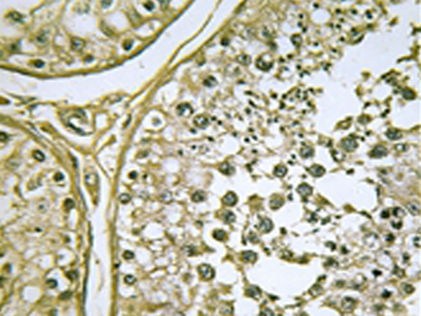
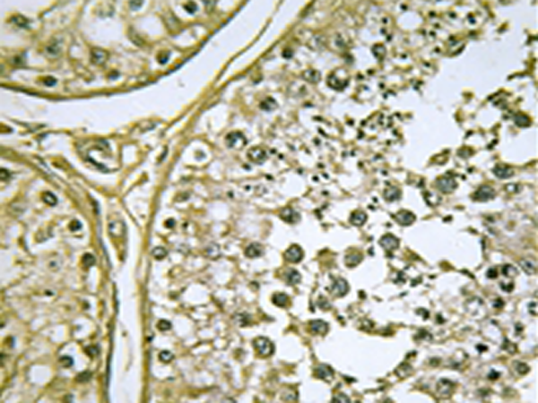
IHC positive control: |
Human testis tissue |
|
IHC Recommend dilution: |
50-100 |
|
IF positive control: |
A549 cells |
|
IF Recommend dilution: |
100-500 |

購物車
幫助
021-54845833/15800441009
