|
Background: |
CTNNAL1 (catenin (cadherin-associated protein), alpha-like 1), also known as CLLP or alpha-CATU, is a 734 amino acid cytoplasmic peripheral membrane protein belonging to the vinculin/alpha-catenin family. Expressed at high levels in adrenal gland and present at lower levels in neural tissues, CTNNAL1 may be involved in the regulation of Rho pathway signaling by providing a scaffold for the Lbc Rho guanine nucleotide exchange factor 1 (RhoGEF p115). It is suggested that CTNNAL1 is down-regulated in pancreatic carcinoma undergoing differentiation and apoptosis. Existing as three isforms produced by alternative splicing events, CTNNAL1 may contribute to the wound repair and proliferation of human bronchial epithelial cells (HBEC). |
|
Applications: |
ELISA, IHC |
|
Name of antibody: |
CTNNAL1 |
|
Immunogen: |
Fusion protein of human CTNNAL1 |
|
Full name: |
catenin alpha like 1 |
|
Synonyms: |
ACRP; CLLP; alpha-CATU |
|
SwissProt: |
Q9UBT7 |
|
ELISA Recommended dilution: |
5000-10000 |
|
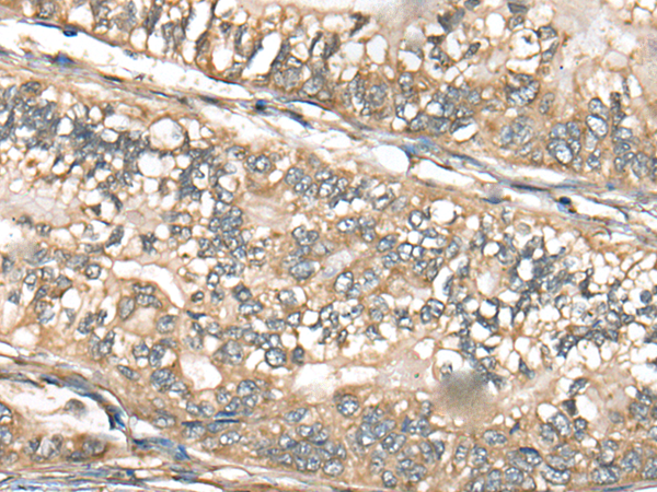
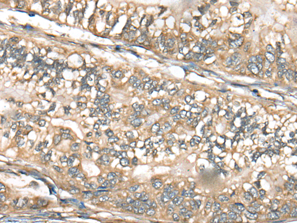
IHC positive control: |
Human liver cancer and human gastric cancer |
|
IHC Recommend dilution: |
30-150 |


購物車
幫助
021-54845833/15800441009
