中文名稱: 兔抗RPS6多克隆抗體
英文名稱: Anti-RPS6 (Ab-235) rabbit polyclonal antibody
別 名: S6; RS6
相關類別: 一抗
儲 存: 冷凍(-20℃) 避光
宿 主: Rabbit
抗 原: RPS6
反應種屬: Human, Mouse, Rat
標 記 物: Unconjugate
克隆類型: rabbit polyclonal
Background:
Ribosomes, the organelles that catalyze protein synthesis, consist of a small 40S subunit and a large 60S subunit. Together these subunits are composed of 4 RNA species and approximately 80 structurally distinct proteins. This gene encodes a cytoplasmic ribosomal protein that is a component of the 40S subunit. The protein belongs to the S6E family of ribosomal proteins. It is the major substrate of protein kinases in the ribosome, with subsets of five C-terminal serine residues phosphorylated by different protein kinases. Phosphorylation is induced by a wide range of stimuli, including growth factors, tumor-promoting agents, and mitogens. Dephosphorylation occurs at growth arrest. The protein may contribute to the control of cell growth and proliferation through the selective translation of particular classes of mRNA. As is typical for genes encoding ribosomal proteins, there are multiple processed pseudogenes of this gene dispersed through the genome.
Applications:
WB, IHC, IF
Name of antibody:
RPS6
Immunogen:
Synthetic peptide of human RPS6 (Ab-235)
Full name:
ribosomal protein S6
Synonyms:
S6; RS6
SwissProt:
P62753
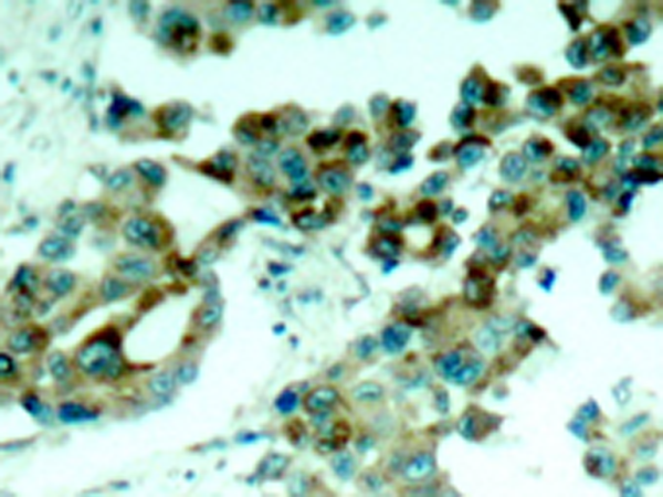
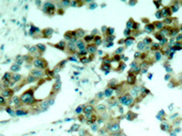
IHC positive control:
Human lung carcinoma
IHC Recommend dilution:
50-100
WB Predicted band size:
29 kDa
WB Positive control:
HepG2 and 293 cells
WB Recommended dilution:
500-1000
IF Positive control:
MCF7 cells
IF Recommended dilution
100-200
技術規格


購物車
幫助
021-54845833/15800441009
