中文名稱: 兔抗SDCBP多克隆抗體
英文名稱: Anti-SDCBP rabbit polyclonal antibody
別 名: ST1; MDA9; SYCL; MDA-9; TACIP18
儲 存: 冷凍(-20℃)
抗 原: SDCBP
宿 主: Rabbit
反應種屬: Human, Mouse, Rat
相關類別: 一抗
標 記 物: Unconjugate
克隆類型: rabbit polyclonal
Background:
The protein encoded by this gene was initially identified as a molecule linking syndecan-mediated signaling to the cytoskeleton. The syntenin protein contains tandemly repeated PDZ domains that bind the cytoplasmic, C-terminal domains of a variety of transmembrane proteins. This protein may also affect cytoskeletal-membrane organization, cell adhesion, protein trafficking, and the activation of transcription factors. The protein is primarily localized to membrane-associated adherens junctions and focal adhesions but is also found at the endoplasmic reticulum and nucleus.
Applications:
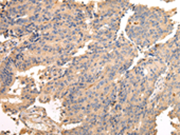
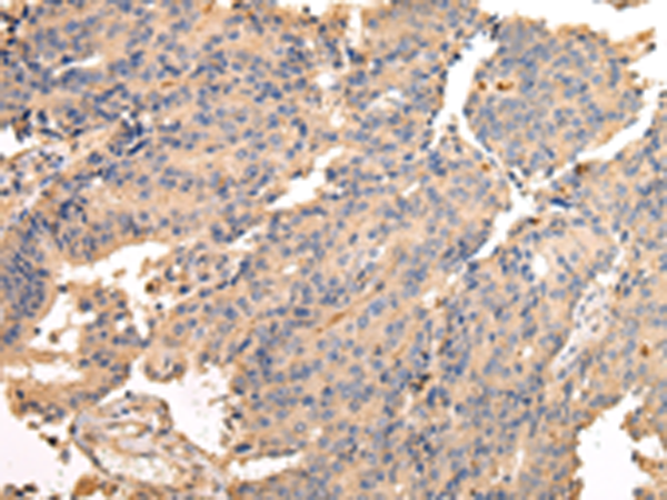
ELISA, WB, IHC
Name of antibody:
SDCBP
Immunogen:
Full length fusion protein
Full name:
syndecan binding protein (syntenin)
Synonyms:
ST1; MDA9; SYCL; MDA-9; TACIP18
SwissProt:
O00560
ELISA Recommended dilution:
2000-5000
IHC positive control:
Human prostate cancer and Human brain
IHC Recommend dilution:
30-150
WB Predicted band size:
32 kDa
WB Positive control:
Human fetal brain tissue and hela cell
WB Recommended dilution:
500-2000
技術規格


購物車
幫助
021-54845833/15800441009
