中文名稱: 兔抗AKT1 (phospho-Thr450)多克隆抗體
英文名稱: Anti-AKT1 (phospho-Thr450) rabbit polyclonal antibody
別 名: AKT; PKB; RAC; CWS6; PRKBA; PKB-ALPHA; RAC-ALPHA
相關類別: 一抗
儲 存: 冷凍(-20℃) 避光
宿 主: Rabbit
抗 原: AKT1 (phospho-Thr450)
反應種屬: Human, Mouse, Rat
標 記 物: Unconjugate
克隆類型: rabbit polyclonal
技術規格
|
Background: |
General protein kinase capable of phosphorylating several known proteins. Phosphorylates TBC1D4. Signals downstream of phosphatidylinositol 3-kinase (PI3K) to mediate the effects of various growth factors such as platelet-derived growth factor (PDGF), epidermal growth factor (EGF), insulin and insulin-like growth factor I (IGF-I). Plays a role in glucose transport by mediating insulin-induced translocation of the GLUT4 glucose transporter to the cell surface. Mediates the antiapoptotic effects of IGF-I. Mediates insulin-stimulated protein synthesis by phosphorylating TSC2 at 'Ser-939' and 'Thr-1462', thereby activating mTORC1 signaling and leading to both phosphorylation of 4E-BP1 and in activation of RPS6KB1. Promotes glycogen synthesis by mediating the insulin-induced activation of glycogen synthase. |
|
Applications: |
WB, IHC, IF |
|
Name of antibody: |
AKT1 (phospho-Thr450) |
|
Immunogen: |
Synthetic peptide of human AKT1 (phospho-Thr450) |
|
Full name: |
v-akt murine thymoma viral oncogene homolog 1 (phospho-Thr450) |
|
Synonyms: |
AKT; PKB; RAC; CWS6; PRKBA; PKB-ALPHA; RAC-ALPHA |
|
SwissProt: |
P31749 |
|
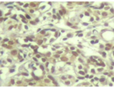
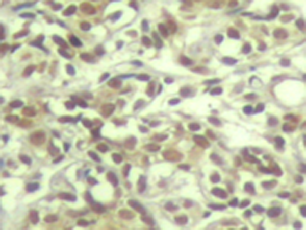
IHC positive control: |
Human breast carcinoma |
|
IHC Recommend dilution: |
50-100 |
|
WB Predicted band size: |
60 kDa |
|
WB Positive control: |
293 cells treated with EGF |
|
WB Recommended dilution: |
500-1000 |
|
IF Positive control: |
Hela cells |
|
IF Recommended dilution |
100-200 |
購物車
幫助
021-54845833/15800441009
