中文名稱: 兔抗TRMT112多克隆抗體
英文名稱: Anti-TRMT112 rabbit polyclonal antibody
|
Background: |
Participates both in methylation of protein and tRNA species. The heterodimer with HEMK2/N6AMT1 catalyzes N5-methylation of ETF1 on 'Gln-185', using S-adenosyl L-methionine as methyl donor. The heterodimer with ALKBH8 catalyzes the methylation of 5-carboxymethyl uridine to 5-methylcarboxymethyl uridine at the wobble position of the anticodon loop in target tRNA species. |
|
Applications: |
ELISA, WB, IHC |
|
Name of antibody: |
TRMT112 |
|
Immunogen: |
Synthetic peptide of human TRMT112 |
|
Full name: |
tRNA methyltransferase subunit 11-2 |
|
Synonyms: |
TRM112; HSPC152; HSPC170; hTrm112; TRMT11-2 |
|
SwissProt: |
Q9UI30 |
|
ELISA Recommended dilution: |
5000-10000 |
|
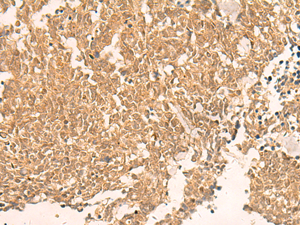
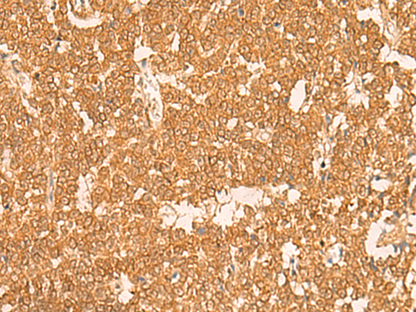
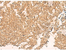
IHC positive control: |
Human ovarian cancer and Human lung cancer |
|
IHC Recommend dilution: |
40-200 |
|
WB Predicted band size: |
14 kDa |
|
WB Positive control: |
231, A172, A549, HepG2, PC3 and Hela cell lysates |
|
WB Recommended dilution: |
200-1000 |



購(gòu)物車
幫助
021-54845833/15800441009
