中文名稱: 兔抗CUTA多克隆抗體
|
Background: |
CUTA, also known as ACHAP (acetylcholinesterase-associated protein), is the 179 amino acid mammalian homolog of the cutA E. coli protein and is ubiquitously expressed, particularly in brain tissue. Existing as multiple alternatively spliced isoforms, CUTA functions as a homotrimer that is thought to act as a component of an acetylcholinesterase (AChE)-attached complex, suggesting an involvement in AChE regulation. The gene encoding CUTA maps to human chromosome 6, which contains 170 million base pairs and comprises nearly 6% of the human genome. Deletion of a portion of the q arm of chromosome 6 is associated with early onset intestinal cancer, suggesting the presence of a cancer susceptibility locus. Additionally, Porphyria cutanea tarda, Parkinson’s disease, Stickler syndrome and a susceptibility to bipolar disorder are all associated with genes that map to chromosome 6. |
|
Applications: |
ELISA, IHC |
|
Name of antibody: |
CUTA |
|
Immunogen: |
Fusion protein of human CUTA |
|
Full name: |
cutA divalent cation tolerance homolog |
|
Synonyms: |
ACHAP; C6orf82 |
|
SwissProt: |
O60888 |
|
ELISA Recommended dilution: |
5000-10000 |
|
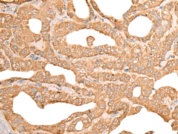
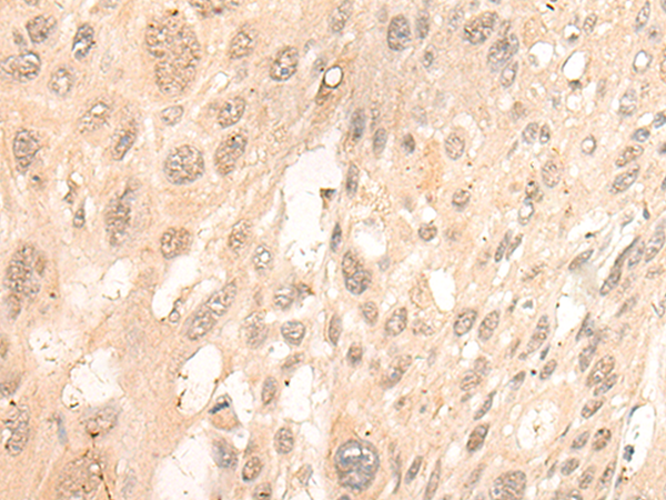
IHC positive control: |
Human thyroid cancer and Human esophagus cancer |
|
IHC Recommend dilution: |
40-200 |

購(gòu)物車(chē)
幫助
021-54845833/15800441009
