|
Background: |
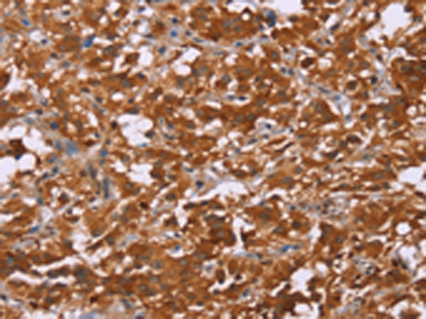
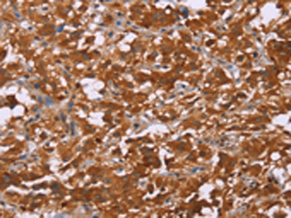
CLCP1 (CUB, LCCL and coagulation factor V/VIII-homology domains protein 1), also known as DCBLD2 (discoidin, CUB and LCCL domain containing 2) or ESDN, is a 775 amino acid single-pass type I membrane protein that contains one CUB domain, one LCCL domain and one F5/8 type C domain. Expressed at high levels in heart, testis and skeletal muscle, CLCP1 is thought to regulate vascular smooth muscle cell (VSMC) proliferation and remodeling and may be involved in the transformation and metastasis of various cancers, such as metastatic lung cancer and gastric carcinoma. |
|
Applications: |
ELISA, IHC |
|
Name of antibody: |
DCBLD2 |
|
Immunogen: |
Fusion protein of human DCBLD2 |
|
Full name: |
discoidin, CUB and LCCL domain containing 2 |
|
Synonyms: |
ESDN; CLCP1 |
|
SwissProt: |
Q96PD2 |
|
ELISA Recommended dilution: |
2000-10000 |
|
IHC positive control: |
Human thyroid cancer and human brain |
|
IHC Recommend dilution: |
100-300 |
購物車
幫助
021-54845833/15800441009
