中文名稱: 兔抗WFDC3多克隆抗體
英文名稱: Anti-WFDC3 rabbit polyclonal antibody
別 名: WAP four-disulfide core domain 3; WAP14; dJ447F3.3
相關類別: 一抗
儲 存: 冷凍(-20℃)
抗 原: WFDC3
宿 主: Rabbit
反應種屬: Human
標 記 物: Unconjugate
克隆類型: rabbit polyclonal
技術規格
|
Background: |
This gene encodes a member of the WAP-type four-disulfide core (WFDC) domain family. The WFDC domain, or WAP signature motif, contains eight cysteines forming four disulfide bonds at the core of the protein, and functions as a protease inhibitor. The encoded protein contains four WFDC domains. Most WFDC genes are localized to chromosome 20q12-q13 in two clusters: centromeric and telomeric. This gene belongs to the telomeric cluster. Alternatively spliced transcript variants have been observed but their full-length nature has not been determined. |
|
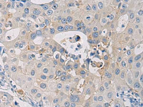
Applications: |
ELISA, IHC |
|
Name of antibody: |
WFDC3 |
|
Immunogen: |
Synthetic peptide of human WFDC3 |
|
Full name: |
WAP four-disulfide core domain 3 |
|
Synonyms: |
WAP14; dJ447F3.3 |
|
SwissProt: |
Q8IUB2 |
|
ELISA Recommended dilution: |
5000-10000 |
|
IHC positive control: |
Human liver cancer and Human breast cancer |
|
IHC Recommend dilution: |
50-100 |

購物車
幫助
021-54845833/15800441009
