中文名稱: 兔抗MAP3K2多克隆抗體
英文名稱: Anti-MAP3K2 rabbit polyclonal antibody
別 名: MEKK2; MEKK2B
相關類別: 一抗
儲 存: 冷凍(-20℃)
宿 主: Rabbit
抗 原: MAP3K2
反應種屬: Human, Mouse
標 記 物: Unconjugate
克隆類型: rabbit polyclonal
技術規格
Background:
The protein encoded by this gene is a member of serine/threonine protein kinase family. This kinase preferentially activates other kinases involved in the MAP kinase signaling pathway. This kinase has been shown to directly phosphorylate and activate Ikappa B kinases, and thus plays a role in NF-kappa B signaling pathway. This kinase has also been found to bind and activate protein kinase C-related kinase 2, which suggests its involvement in a regulated signaling process.
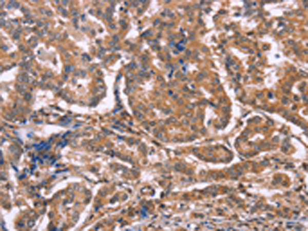
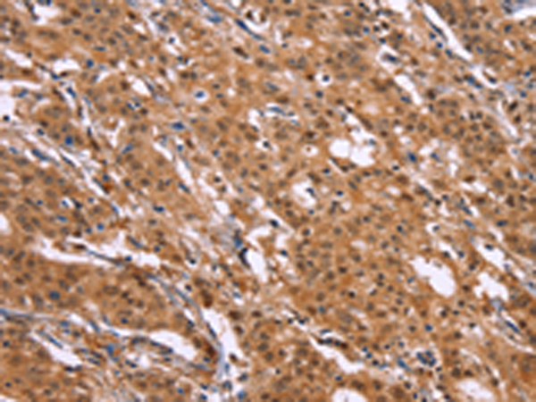
Applications:
ELISA, WB, IHC
Name of antibody:
MAP3K2
Immunogen:
Synthetic peptide of human MAP3K2
Full name:
mitogen-activated protein kinase kinase kinase 2
Synonyms:
MEKK2; MEKK2B
SwissProt:
Q9Y2U5
ELISA Recommended dilution:
5000-10000
IHC positive control:
Human breast cancer and human gastric cancer
IHC Recommend dilution:
25-100
WB Predicted band size:
70 kDa
WB Positive control:
231 and Hepg2 cell
WB Recommended dilution:
200-1000



購物車
幫助
021-54845833/15800441009
