|
Background: |
The protein encoded by this gene is involved in the TGF-beta signaling pathway that results in an inhibition of the proliferation of hematopoietic progenitor cells. The encoded protein is activated by BMP type 1 receptor kinase. Three transcript variants encoding the same protein have been found for this gene. Transcriptional modulator activated by BMP (bone morphogenetic proteins) type 1 receptor kinase. SMAD5 is a receptor-regulated SMAD (R-SMAD). May form trimers with the co-SMAD SMAD4. Interacts with PEBP2-alpha subunit and SMURF1. Interacts with SUV39H1 and SUV39H2. Interacts (via MH2 domain) with LEMD3. Interacts with WWP1. |
|
Applications: |
ELISA, WB, IHC |
|
Name of antibody: |
SMAD5 |
|
Immunogen: |
Fusion protein of human SMAD5 |
|
Full name: |
SMAD family member 5 |
|
Synonyms: |
DWFC; JV5-1; MADH5 |
|
SwissProt: |
Q99717 |
|
ELISA Recommended dilution: |
1000-2000 |
|
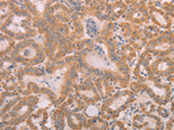
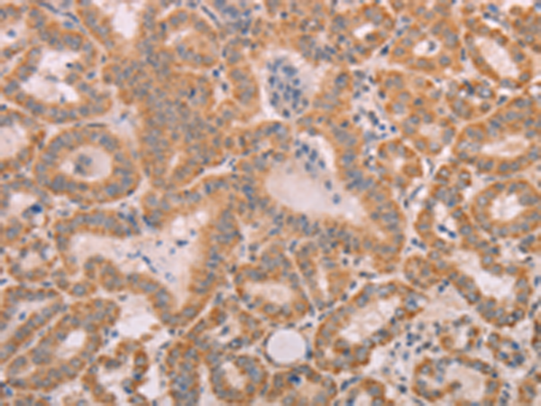
IHC positive control: |
Human thyroid cancer |
|
IHC Recommend dilution: |
25-100 |
|
WB Predicted band size: |
52 kDa |
|
WB Positive control: |
Hela cells |
|
WB Recommended dilution: |
200-1000 |
購物車
幫助
021-54845833/15800441009
