|
Background: |
The protein encoded by this gene is dCTP pyrophosphatase, which converts dCTP to dCMP and inorganic pyrophosphate. The encoded protein also displays weak activity against dTTP and dATP, but none against dGTP. This protein may be responsible for eliminating excess dCTP after DNA synthesis and may prevent overmethylation of CpG islands. Three transcript variants, one protein-coding and the other two non-protein coding, have been found for this gene. |
|
Applications: |
ELISA, IHC |
|
Name of antibody: |
DCTPP1 |
|
Immunogen: |
Fusion protein of human DCTPP1 |
|
Full name: |
dCTP pyrophosphatase 1 |
|
Synonyms: |
CDA03; RS21C6; XTP3TPA |
|
SwissProt: |
Q9H773 |
|
ELISA Recommended dilution: |
5000-10000 |
|
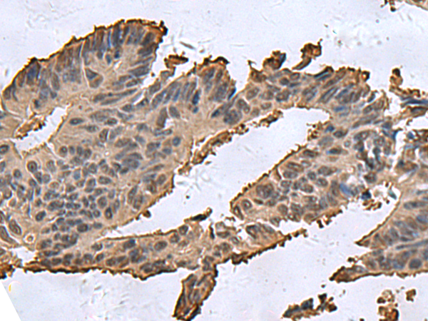
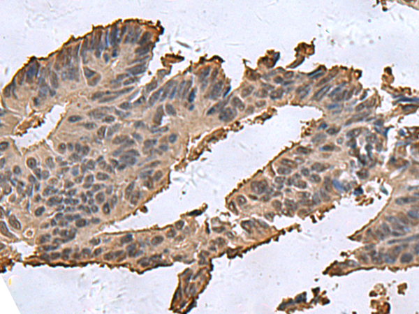
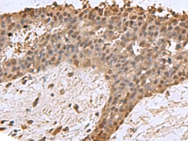
IHC positive control: |
Human breast cancer and Human colorectal cancer |
|
IHC Recommend dilution: |
100-300 |

購物車
幫助
021-54845833/15800441009
