中文名稱: 兔抗MSH4多克隆抗體
英文名稱: Anti-MSH4 rabbit polyclonal antibody
抗 原: MSH4
儲 存: 冷凍(-20℃)
宿 主: Rabbit
相關類別: 一抗
反應種屬: Human, Mouse
標 記 物: Unconjugate
克隆類型: rabbit polyclonal
技術規格
|
Background: |
This gene encodes a member of the DNA mismatch repair mutS family. This member is a meiosis-specific protein that is not involved in DNA mismatch correction, but is required for reciprocal recombination and proper segregation of homologous chromosomes at meiosis I. This protein and MSH5 form a heterodimer which binds uniquely to a Holliday Junction and its developmental progenitor, thus provoking ADP-ATP exchange, and stabilizing the interaction between parental chromosomes during meiosis double-stranded break repair. |
|
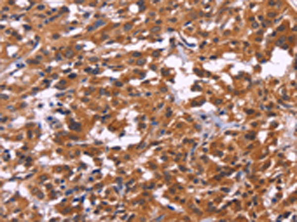
Applications: |
ELISA, IHC |
|
Name of antibody: |
MSH4 |
|
Immunogen: |
Fusion protein of human MSH4 |
|
Full name: |
mutS homolog 4 |
|
SwissProt: |
O15457 |
|
ELISA Recommended dilution: |
2000-5000 |
|
IHC positive control: |
Human thyroid cancer and human brain |
|
IHC Recommend dilution: |
50-200 |

購物車
幫助
021-54845833/15800441009
