中文名稱: 兔抗TTBK1多克隆抗體
技術規格
|
Background: |
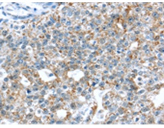
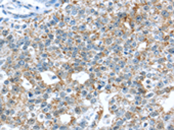
TTBK1 (tau tubulin kinase 1), also known as BDTK (brain-derived tau kinase), is a 1,321 amino acid protein that contains one protein kinase domain and belongs to the serine/threonine protein kinase family. Localized to the cytoplasm and expressed at high levels in brain and at lower levels in testis and spinal cord, TTBK1 functions as a serine/threonine kinase that can phosphorylate Tau (a protein involved in tubulin polymerization) on threonine, tyrosine and serine residues. Specifically, TTBK1 uses divalent cations, such as magnesium and manganese, to catalyze the ATP-dependent transfer of a phosphate group onto Tau, creating a phosphoprotein and ADP. Phosphorylation of Tau causes its aggregation and subsequent loss of function, suggesting an important role for TTBK1 in the control of tubulin dynamics. |
|
Applications: |
ELISA, IHC |
|
Name of antibody: |
TTBK1 |
|
Immunogen: |
Synthetic peptide of humanTTBK1 |
|
Full name: |
tau tubulin kinase 1 |
|
Synonyms: |
BDTK |
|
SwissProt: |
Q5TCY1 |
|
ELISA Recommended dilution: |
2000-5000 |
|
IHC positive control: |
Human breast cancer and Human brain |
|
IHC Recommend dilution: |
25-100 |
購物車
幫助
021-54845833/15800441009
