中文名稱: 兔抗MARK2多克隆抗體
英文名稱: Anti-MARK2 rabbit polyclonal antibody
別 名: microtubule affinity regulating kinase 2; EMK1; EMK-1; PAR-1; Par1b; Par-1b
相關類別: 一抗
抗 原: MARK2
儲 存: 冷凍(-20℃)
宿 主: Rabbit
反應種屬: Human, Mouse, Rat
標 記 物: Unconjugate
克隆類型: rabbit polyclonal
技術規格
|
Background: |
This gene encodes a member of the Par-1 family of serine/threonine protein kinases. The protein is an important regulator of cell polarity in epithelial and neuronal cells, and also controls the stability of microtubules through phosphorylation and inactivation of several microtubule-associating proteins. The protein localizes to cell membranes. Multiple transcript variants encoding different isoforms have been found for this gene. |
|
Applications: |
ELISA, WB, IHC |
|
Name of antibody: |
MARK2 |
|
Immunogen: |
Synthetic peptide of human MARK2 |
|
Full name: |
microtubule affinity regulating kinase 2 |
|
Synonyms: |
EMK1; EMK-1; PAR-1; Par1b; Par-1b |
|
SwissProt: |
Q7KZI7 |
|
ELISA Recommended dilution: |
5000-10000 |
|
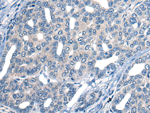
IHC positive control: |
Human liver cancer |
|
IHC Recommend dilution: |
25-100 |
|
WB Predicted band size: |
88 kDa |
|
WB Positive control: |
Raji and A431 cell lysates |
|
WB Recommended dilution: |
500-2000 |


購物車
幫助
021-54845833/15800441009
