中文名稱: 兔抗MARVELD1多克隆抗體
英文名稱: Anti-MARVELD1 rabbit polyclonal antibody
別 名: GB14; MARVD1; MRVLDC1; bA548K23.8
相關類別: 一抗
儲 存: 冷凍(-20℃)
宿 主: Rabbit
抗 原: MARVELD1
反應種屬: Human, Mouse
標 記 物: Unconjugate
克隆類型: rabbit polyclonal
技術規格
|
Background: |
MARVELD1 (MARVEL domain containing 1), also known as GB14, MARVD1 or MRVLDC1, is a 173 amino acid protein that is widely expressed and contains one MARVEL (MAL and related proteins for vesicle trafficking and membrane link) domain. The MARVEL domain, which is common in Occludin proteins, is a 130 amino acid motif that contains four transmembrane helices, both of which have cytoplasmic N- and C-terminal regions. Localizing to the nucleus, MARVELD1 is downregulated in primary multiple tumors of liver, bladder, ovary, vulva, breast, testis, uterus, kidney and testis. The gene encoding MARVELD1 maps to human chromosome 10, which makes up approximately 4.5% of total DNA in cells and encodes nearly 1,200 genes. Defects in some of the genes that map to chromosome 10 are associated with Charcot-Marie Tooth disease, Jackson-Weiss syndrome, Usher syndrome, nonsyndromatic deafness, Wolman’s syndrome and Cowden syndrome. |
|
Applications: |
ELISA, WB, IHC |
|
Name of antibody: |
MARVELD1 |
|
Immunogen: |
Synthetic peptide of human MARVELD1 |
|
Full name: |
MARVEL domain containing 1 |
|
Synonyms: |
GB14; MARVD1; MRVLDC1; bA548K23.8 |
|
SwissProt: |
Q9BSK0 |
|
ELISA Recommended dilution: |
1000-2000 |
|
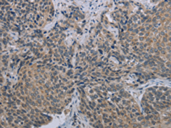
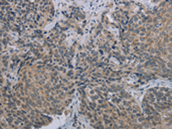
IHC positive control: |
Human cervical cancer and Human colon cancer |
|
IHC Recommend dilution: |
50-200 |
|
WB Predicted band size: |
19 kDa |
|
WB Positive control: |
Mouse heart tissue |
|
WB Recommended dilution: |
200-1000 |


購物車
幫助
021-54845833/15800441009
