中文名稱: 兔抗PLGLB2多克隆抗體
英文名稱: Anti-PLGLB2 rabbit polyclonal antibody
別 名: plasminogen-like B2; PLGP1
相關類別: 一抗
儲 存: 冷凍(-20℃)
宿 主: Rabbit
抗 原: PLGLB2
反應種屬: Human
標 記 物: Unconjugate
克隆類型: rabbit polyclonal
技術規格
|
Background: |
Cleavage of the serine proteinase plasminogen to form plasmin is the central event in the dissolution of blood clots by the fibrinolytic system. Within the fibrinolytic cascade, the serine proteinases urokinase-type plasminogen activator (uPA) and tissue-type plasminogen activator (tPA) activate the proenzyme plasminogen by cleaving plasminogen to form the fibrinolytically active enzyme plasmin. PLGLB2 (plasminogen-like B2), also known as PLGP1, is a 96 amino acid protein that resembles the N-terminal plasminogen activation peptide, which is released from plasminogen during conversion to plasmin. PLGLB2 may bind to lysine binding sites present in the kringle structures of plasminogen, an event that interfers with the binding of fibrin or α-2 antiplasmin to plasminogen and may result in the localization of activity at sites necessary for extracellular matrix destruction. |
|
Applications: |
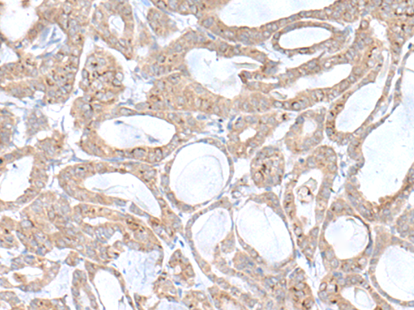
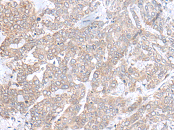
ELISA, IHC |
|
Name of antibody: |
PLGLB2 |
|
Immunogen: |
Fusion protein of human PLGLB2 |
|
Full name: |
plasminogen-like B2 |
|
Synonyms: |
PLGP1 |
|
SwissProt: |
Q02325 |
|
ELISA Recommended dilution: |
5000-10000 |
|
IHC positive control: |
Human thyroid cancer |
|
IHC Recommend dilution: |
30-150 |


購物車
幫助
021-54845833/15800441009
