中文名稱: 兔抗MBL2多克隆抗體
英文名稱: Anti-MBL2 rabbit polyclonal antibody
別 名: MBL; MBP; MBP1; MBPD; MBL2D; MBP-C; COLEC1; HSMBPC
相關類別: 一抗
儲 存: 冷凍(-20℃)
宿 主: Rabbit
抗 原: MBL2
反應種屬: Human, Rat
標 記 物: Unconjugate
克隆類型: rabbit polyclonal
技術規格
|
Background: |
This gene encodes the soluble mannose-binding lectin or mannose-binding protein found in serum. The protein encoded belongs to the collectin family and is an important element in the innate immune system. The protein recognizes mannose and N-acetylglucosamine on many microorganisms, and is capable of activating the classical complement pathway. Deficiencies of this gene have been associated with susceptibility to autoimmune and infectious diseases. |
|
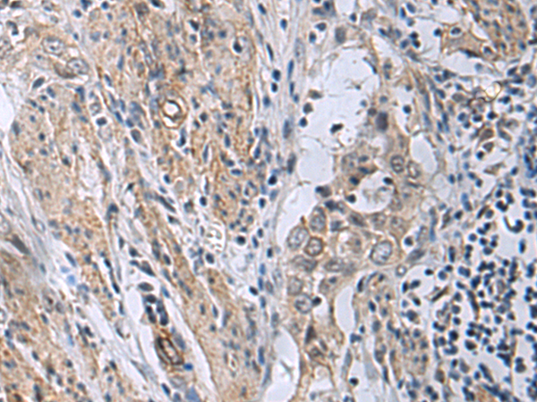
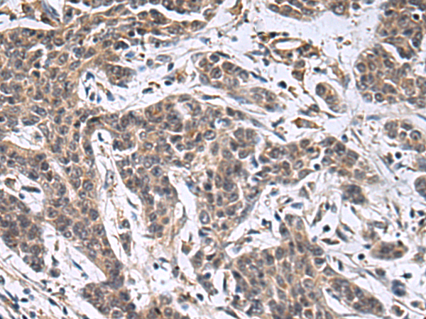
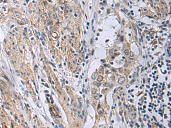
Applications: |
ELISA, IHC |
|
Name of antibody: |
MBL2 |
|
Immunogen: |
Synthetic peptide of human MBL2 |
|
Full name: |
mannose binding lectin 2 |
|
Synonyms: |
MBL; MBP; MBP1; MBPD; MBL2D; MBP-C; COLEC1; HSMBPC |
|
SwissProt: |
P11226 |
|
ELISA Recommended dilution: |
5000-10000 |
|
IHC positive control: |
Human colorectal cancer and Human esophagus cancer |
|
IHC Recommend dilution: |
50-100 |


購物車
幫助
021-54845833/15800441009
