中文名稱: 兔抗SHPK多克隆抗體
英文名稱: Anti-SHPK rabbit polyclonal antibody
別 名: sedoheptulokinase; SHK; CARKL
抗 原: SHPK
相關類別: 一抗
儲 存: 冷凍(-20℃)
宿 主: Rabbit
反應種屬: Human, Mouse
標 記 物: Unconjugate
克隆類型: rabbit polyclonal
技術規格
|
Background: |
The protein encoded by this gene has weak homology to several carbohydrate kinases, a class of proteins involved in the phosphorylation of sugars as they enter a cell, inhibiting return across the cell membrane. Sequence variation between this novel gene and known carbohydrate kinases suggests the possibility of a different substrate, cofactor or changes in kinetic properties distinguishing it from other carbohydrate kinases. The gene resides in a region commonly deleted in cystinosis patients, suggesting a role as a modifier for the cystinosis phenotype. The genomic region is also rich in Alu repetitive sequences, frequently involved in chromosomal rearrangements. |
|
Applications: |
ELISA, WB, IHC |
|
Name of antibody: |
SHPK |
|
Immunogen: |
Fusion protein of human SHPK |
|
Full name: |
sedoheptulokinase |
|
Synonyms: |
SHK; CARKL |
|
SwissProt: |
Q9UHJ6 |
|
ELISA Recommended dilution: |
5000-10000 |
|
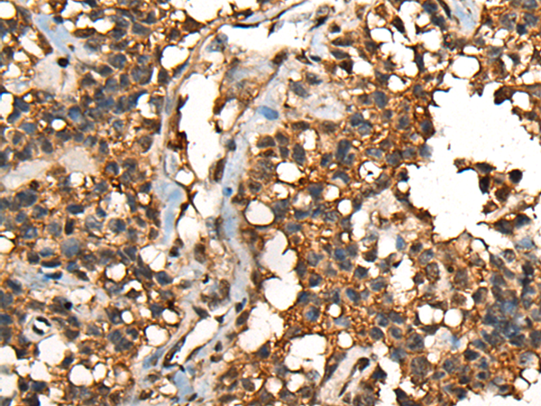
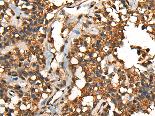
IHC positive control: |
Human ovarian cancer; |
|
IHC Recommend dilution: |
40-200 |
|
WB Predicted band size: |
51 kDa |
|
WB Positive control: |
293T cell lysate |
|
WB Recommended dilution: |
500-2000 |

購物車
幫助
021-54845833/15800441009
