|
Background: |
Apoptosis is a cell death process that removes toxic and/or useless cells during mammalian development. The apoptotic process is accompanied by shrinkage and fragmentation of the cells and nuclei and degradation of the chromosomal DNA into nucleosomal units. DNA fragmentation factor (DFF) is a heterodimeric protein of 40-kD (DFFB) and 45-kD (DFFA) subunits. DFFA is the substrate for caspase-3 and triggers DNA fragmentation during apoptosis. DFF becomes activated when DFFA is cleaved by caspase-3. The cleaved fragments of DFFA dissociate from DFFB, the active component of DFF. DFFB has been found to trigger both DNA fragmentation and chromatin condensation during apoptosis. Alternatively spliced transcript variants encoding distinct isoforms have been found for this gene but the biological validity of these variants has not been determined. |
|
Applications: |
ELISA, IHC |
|
Name of antibody: |
DFFB |
|
Immunogen: |
Synthetic peptide of human DFFB |
|
Full name: |
DNA fragmentation factor, 40kDa, beta polypeptide (caspase-activated DNase) |
|
Synonyms: |
CAD; CPAN; DFF2; DFF40; DFF-40 |
|
SwissProt: |
O76075 |
|
ELISA Recommended dilution: |
1000-5000 |
|
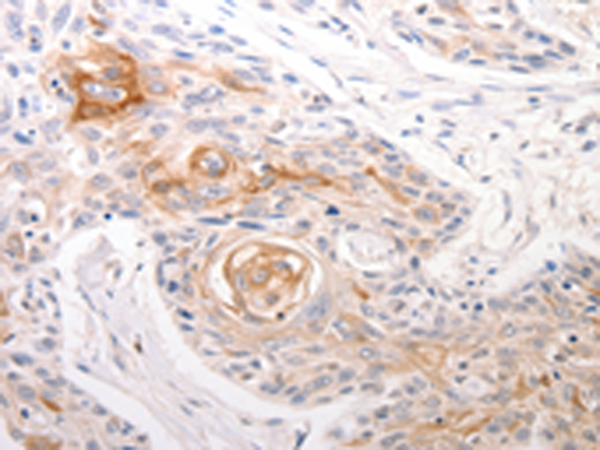
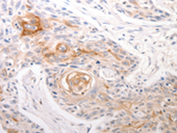
IHC positive control: |
Human esophagus cancer |
|
IHC Recommend dilution: |
25-100 |
購(gòu)物車
幫助
021-54845833/15800441009
