反應種屬: Human, Mouse
技術規格
Background:
The protein encoded by this gene is an immunoglobulin-like membrane protein containing several V-type Ig-like domains. A mutation in this gene has been associated with bilateral nasolacrimal duct obstruction (LCDD).
Applications:
ELISA, IHC
Name of antibody:
IGSF3
Immunogen:
Synthetic peptide of human IGSF3
Full name:
immunoglobulin superfamily member 3
Synonyms:
V8; LCDD; EWI-3
SwissProt:
O75054
ELISA Recommended dilution:
5000-10000
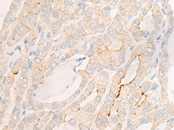
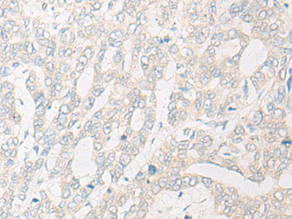
IHC positive control:
Human gastric cancer; Human liver cancer
IHC Recommend dilution:
20-100


購物車
幫助
021-54845833/15800441009
