中文名稱: 兔抗MCRS1多克隆抗體
英文名稱: Anti-MCRS1 rabbit polyclonal antibody
別 名: microspherule protein 1; P78; MCRS2; MSP58; INO80Q; ICP22BP
相關類別: 一抗
儲 存: 冷凍(-20℃)
宿 主: Rabbit
抗 原: MCRS1
反應種屬: Human, Mouse
標 記 物: Unconjugate
克隆類型: rabbit polyclonal
技術規格
|
Background: |
Modulates the transcription repressor activity of DAXX by recruiting it to the nucleolus (PubMed:11948183). As part of the NSL complex it may be involved in acetylation of nucleosomal histone H4 on several lysine residues (PubMed:20018852). Putative regulatory component of the chromatin remodeling INO80 complex which is involved in transcriptional regulation, DNA replication and probably DNA repair. May also be an inhibitor of TERT telomerase activity (PubMed:15044100). Binds to G-quadruplex structures in mRNA (PubMed:16571602). Binds to RNA homopolymer poly(G) and poly(U) (PubMed:16571602). |
|
Applications: |
ELISA, WB, IHC |
|
Name of antibody: |
MCRS1 |
|
Immunogen: |
Fusion protein of human MCRS1 |
|
Full name: |
microspherule protein 1 |
|
Synonyms: |
P78; MCRS2; MSP58; INO80Q; ICP22BP |
|
SwissProt: |
Q96EZ8 |
|
ELISA Recommended dilution: |
5000-10000 |
|
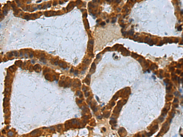
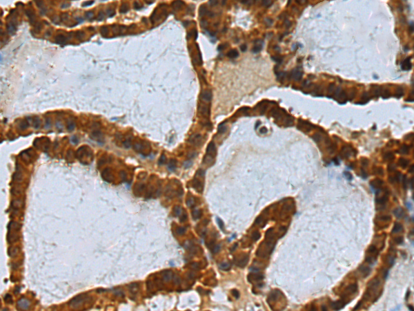
IHC positive control: |
Human thyroid cancer |
|
IHC Recommend dilution: |
100-300 |
|
WB Predicted band size: |
52 kDa |
|
WB Positive control: |
293T cell lysate |
|
WB Recommended dilution: |
500-2000 |


購物車
幫助
021-54845833/15800441009
