中文名稱:兔抗MPC2多克隆抗體
英文名稱: Anti-MPC2 rabbit polyclonal antibody
別 名: BRP44
抗 原: MPC2
儲 存: 冷凍(-20℃) 避光
宿 主: Rabbit
反應種屬: Human Mouse
相關類別: 一抗
標 記 物: Unconjugate
克隆類型: Unconjugate
技術規格
|
Background: |
Mediates the uptake of pyruvate into mitochondria. |
|
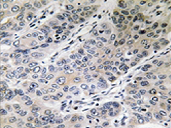
Applications: |
IHC |
|
Name of antibody: |
MPC2 |
|
Immunogen: |
Synthesized peptide derived from internal of human BRP44. |
|
Full name: |
mitochondrial pyruvate carrier 2 |
|
Synonyms: |
BRP44 |
|
SwissProt: |
O95563 |
|
IHC positive control: |
Human lung carcinoma tissue |
|
IHC Recommend dilution: |
50-100 |

購物車
幫助
021-54845833/15800441009
