中文名稱(chēng): 兔抗TUFM多克隆抗體
|
Background: |
This gene encodes a protein which participates in protein translation in mitochondria. Mutations in this gene have been associated with combined oxidative phosphorylation deficiency resulting in lactic acidosis and fatal encephalopathy. A pseudogene has been identified on chromosome 17. |
|
Applications: |
WB, IHC |
|
Name of antibody: |
TUFM |
|
Immunogen: |
Synthesized peptide derived from internal of human TUFM. |
|
Full name: |
Tu translation elongation factor, mitochondrial |
|
Synonyms: |
P43; EFTU; COXPD4; EF-TuMT |
|
SwissProt: |
P49411 |
|
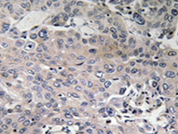
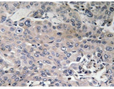
IHC positive control: |
Human lung carcinoma tissue |
|
IHC Recommend dilution: |
50-100 |
|
WB Predicted band size: |
50 kDa |
|
WB Positive control: |
LOVO cells and NIH/3T3 cells lysates |
|
WB Recommended dilution: |
500-3000 |


購(gòu)物車(chē)
幫助
021-54845833/15800441009
