中文名稱:兔抗SETD1A多克隆抗體
英文名稱: Anti-SETD1A rabbit polyclonal antibody
別 名: SET domain containing 1A; Set1; KMT2F; Set1A
相關類別: 一抗
儲 存: 冷凍(-20℃)
宿 主: Rabbit
抗 原: SETD1A
反應種屬: Human
標記物: Unconjugate
克隆類型: rabbit polyclonal
技術規格
|
Background: |
The protein encoded by this gene is a component of a histone methyltransferase (HMT) complex that produces mono-, di-, and trimethylated histone H3 at Lys4. Trimethylation of histone H3 at lysine 4 (H3K4me3) is a chromatin modification known to generally mark the transcription start sites of active genes. The protein contains SET domains, a RNA recognition motif domain and is a member of the class V-like SAM-binding methyltransferase superfamily. |
|
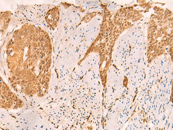
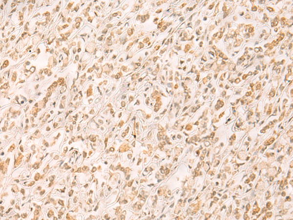
Applications: |
ELISA, IHC |
|
Name of antibody: |
SETD1A |
|
Immunogen: |
Synthetic peptide of human SETD1A |
|
Full name: |
SET domain containing 1A |
|
Synonyms: |
Set1; KMT2F; Set1A |
|
SwissProt: |
O15047 |
|
ELISA Recommended dilution: |
5000-10000 |
|
IHC positive control: |
Human gastric cancer and Human esophagus cancer |
|
IHC Recommend dilution: |
30-150 |

購物車
幫助
021-54845833/15800441009
