中文名稱: 兔抗AMIGO2多克隆抗體
英文名稱: Anti-AMIGO2 rabbit polyclonal antibody
別 名: ALI1; DEGA; AMIGO-2
相關類別: 一抗
儲 存: 冷凍(-20℃)
抗 原: AMIGO2
宿 主: Rabbit
反應種屬: Human, Mouse, Rat
標 記 物: Unconjugate
克隆類型: rabbit polyclonal
技術規格
|
Background: |
The amphoterin-induced gene and ORF (AMIGO) family of proteins consists of AMIGO-1, AMIGO-2 and AMIGO-3. All three members are single pass type I membrane proteins that contain several leucine-rich repeats, one IgG domain, and a transmembrane domain. The AMIGO proteins are specifically expressed on fiber tracts of neuronal tissues and participate in their formation. The AMIGO proteins can form complexes with each other, but can also bind itself. AMIGO-1, also designated Alivin-2, promotes growth and fasciculation of neurites and plays a role in myelination and fasciculation of developing neural axons. In cerebellar neurons, AMIGO-2 (Alivin-1) is crucial for depolarization-dependent survival. Similar to AMIGO-1 and AMIGO-2, AMIGO-3 (Alivin-3) plays a role in homophilic and/or heterophilic cell-cell interaction and signal transduction |
|
Applications: |
ELISA, WB, IHC |
|
Name of antibody: |
AMIGO2 |
|
Immunogen: |
Fusion protein of human AMIGO2 |
|
Full name: |
adhesion molecule with Ig-like domain 2 |
|
Synonyms: |
ALI1; DEGA; AMIGO-2 |
|
SwissProt: |
Q86SJ2 |
|
ELISA Recommended dilution: |
2000-5000 |
|
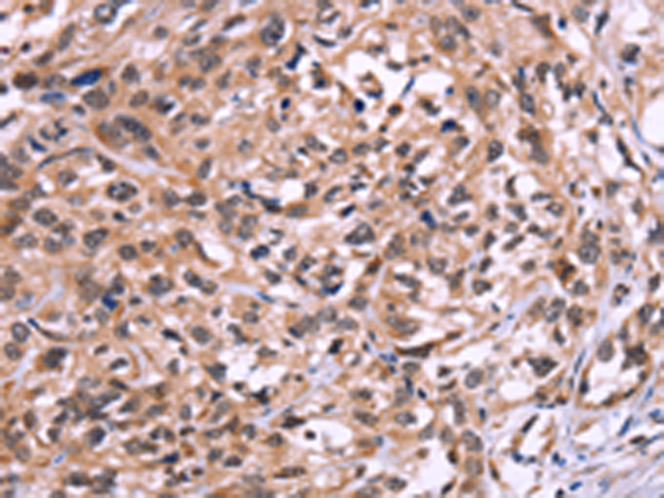
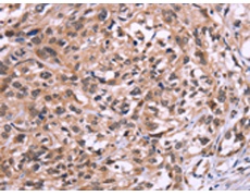
IHC positive control: |
Human esophagus cancer and human breast cancer |
|
IHC Recommend dilution: |
50-200 |
|
WB Predicted band size: |
58 kDa |
|
WB Positive control: |
SP20 cells and mouse heart tissue |
|
WB Recommended dilution: |
500-2000 |
購物車
幫助
021-54845833/15800441009
