|
Background: |
This gene in mouse encodes a protein that may be involved in the generation and maintenance of ciliated cells. In mouse, expression of this gene increases during ciliated cell differentiation, and disruption of this gene has been linked to primary ciliary dyskinesia. |
|
Applications: |
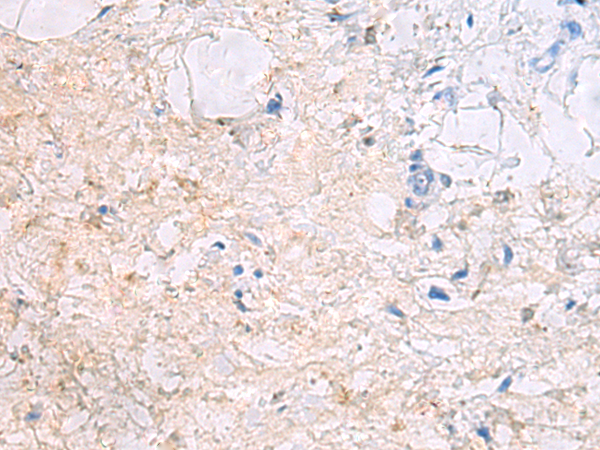
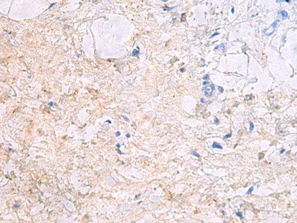
ELISA, IHC |
|
Name of antibody: |
DPCD |
|
Immunogen: |
Synthetic peptide of human DPCD |
|
Full name: |
deleted in primary ciliary dyskinesia homolog (mouse) |
|
SwissProt: |
Q9BVM2 |
|
ELISA Recommended dilution: |
5000-10000 |
|
IHC positive control: |
Human gastric cancer |
|
IHC Recommend dilution: |
50-100 |
購物車
幫助
021-54845833/15800441009
