|
Background: |
IGSF11 is an immunoglobulin (Ig) superfamily member that is preferentially expressed in brain and testis. It shares significant homology with coxsackievirus and adenovirus receptor (CXADR; MIM 602621) and endothelial cell-selective adhesion molecule (ESAM). |
|
Applications: |
ELISA, IHC |
|
Name of antibody: |
IGSF11 |
|
Immunogen: |
Synthetic peptide of human IGSF11 |
|
Full name: |
immunoglobulin superfamily member 11 |
|
Synonyms: |
CT119; VSIG3; Igsf13; BT-IgSF; CXADRL1 |
|
SwissProt: |
Q5DX21 |
|
ELISA Recommended dilution: |
5000-10000 |
|
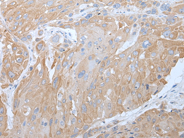
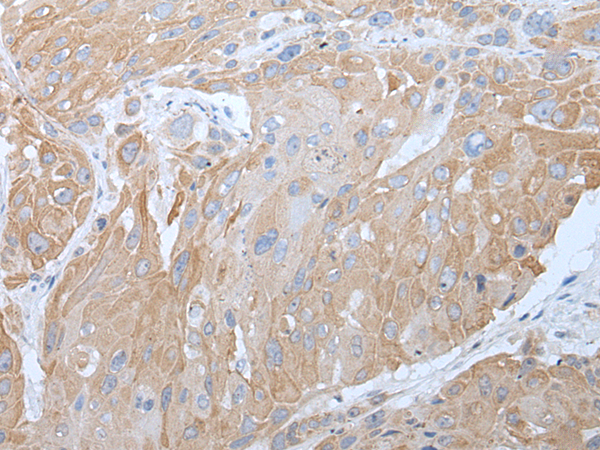
IHC positive control: |
Human esophagus cancer |
|
IHC Recommend dilution: |
25-100 |

購(gòu)物車
幫助
021-54845833/15800441009
