中文名稱: 兔抗DPH7多克隆抗體
|
Background: |
WDR85 is a WD repeat-containing protein that plays a role in the first step of diphthamide biosynthesis (Carette et al., 2009 [PubMed 19965467]). |
|
Applications: |
ELISA, IHC |
|
Name of antibody: |
DPH7 |
|
Immunogen: |
Fusion protein of human DPH7 |
|
Full name: |
diphthamide biosynthesis 7 |
|
Synonyms: |
RRT2; WDR85; C9orf112 |
|
SwissProt: |
Q9BTV6 |
|
ELISA Recommended dilution: |
2000-5000 |
|
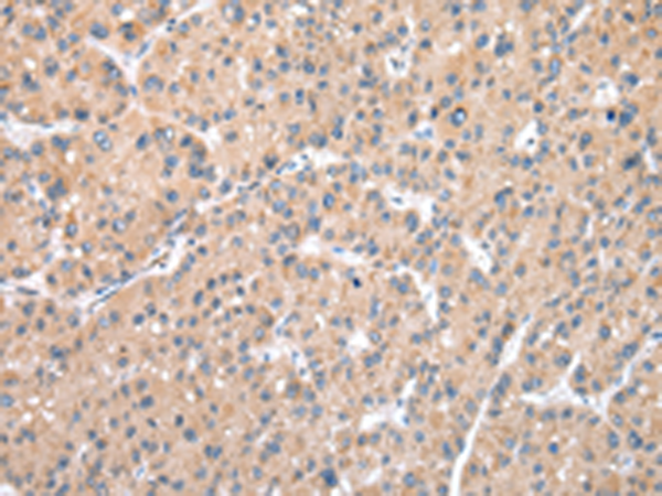
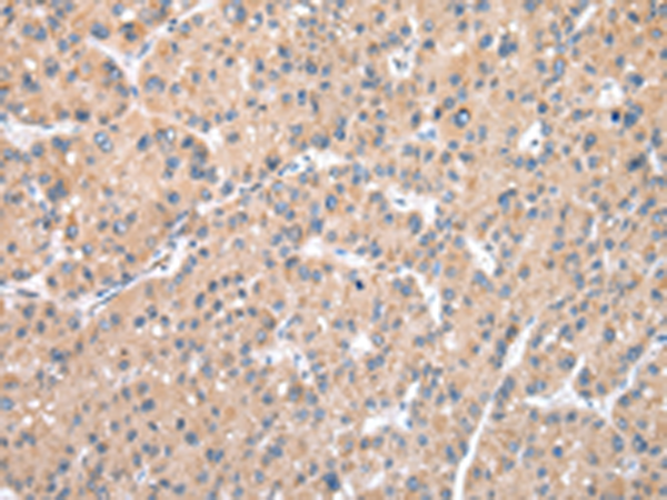
IHC positive control: |
Human liver cancer |
|
IHC Recommend dilution: |
25-100 |
購物車
幫助
021-54845833/15800441009
