中文名稱: 兔抗MICA多克隆抗體
英文名稱: Anti-MICA rabbit polyclonal antibody
別 名: MHC class I polypeptide-related sequence A; MIC-A; PERB11.1
相關類別: 一抗
儲 存: 冷凍(-20℃)
宿 主: Rabbit
抗 原: MICA
反應種屬: Human
標 記 物: Unconjugate
克隆類型: rabbit polyclonal
技術規格
|
Background: |
This gene encodes the highly polymorphic major histocompatability complex class I chain-related protein A. The protein product is expressed on the cell surface, although unlike canonical class I molecules it does not seem to associate with beta-2-microglobulin. It is a ligand for the NKG2-D type II integral membrane protein receptor. The protein functions as a stress-induced antigen that is broadly recognized by intestinal epithelial gamma delta T cells. Variations in this gene have been associated with susceptibility to psoriasis 1 and psoriatic arthritis, and the shedding of MICA-related antibodies and ligands is involved in the progression from monoclonal gammopathy of undetermined significance to multiple myeloma. Alternative splicing of this gene results in multiple transcript variants. |
|
Applications: |
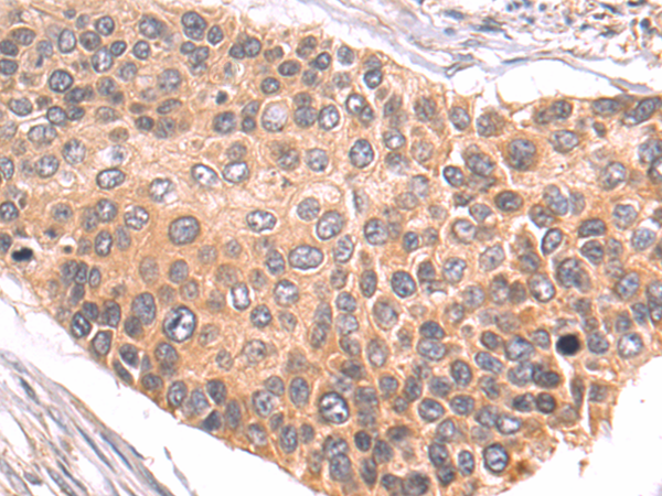
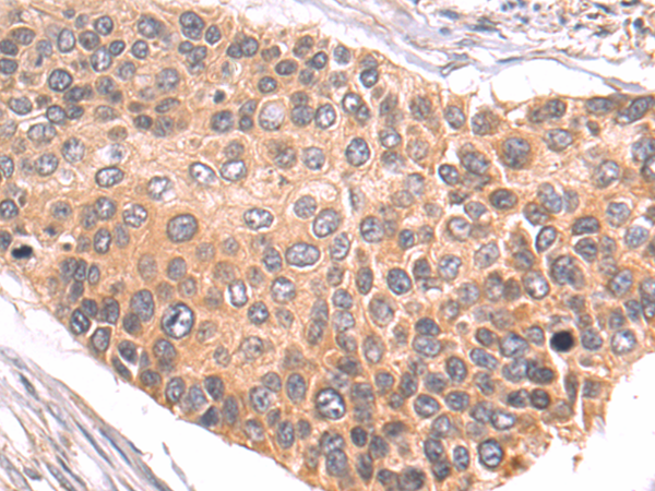
ELISA, IHC |
|
Name of antibody: |
MICA |
|
Immunogen: |
Fusion protein of human MICA |
|
Full name: |
MHC class I polypeptide-related sequence A |
|
Synonyms: |
MIC-A; PERB11.1 |
|
SwissProt: |
Q29983 |
|
ELISA Recommended dilution: |
5000-10000 |
|
IHC positive control: |
Human liver cancer |
|
IHC Recommend dilution: |
50-200 |


購物車
幫助
021-54845833/15800441009
