中文名稱:兔抗SEMA3G多克隆抗體
英文名稱:Anti-SEMA3G rabbit polyclonal antibody
別 名: sem2
抗 原: SEMA3G
儲 存: 冷凍(-20℃)
宿 主: Rabbit
相關類別: 一抗
反應種屬: Human, Mouse
標記物: Unconjugate
克隆類型: rabbit polyclonal
Background:
The transcription of this gene is activated by PPAR-gamma, and the resulting protein product plays a role in endothelial cell migration. Expression of this gene also inhibits tumor cell migration and invasion.
Applications:
ELISA, WB, IHC
Name of antibody:
SEMA3G
Immunogen:
Fusion protein of human SEMA3G
Full name:
semaphorin 3G
Synonyms:
sem2
SwissProt:
Q9NS98
ELISA Recommended dilution:
5000-10000
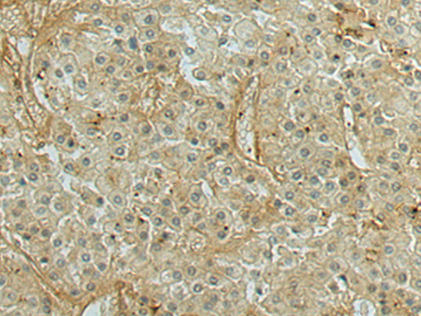
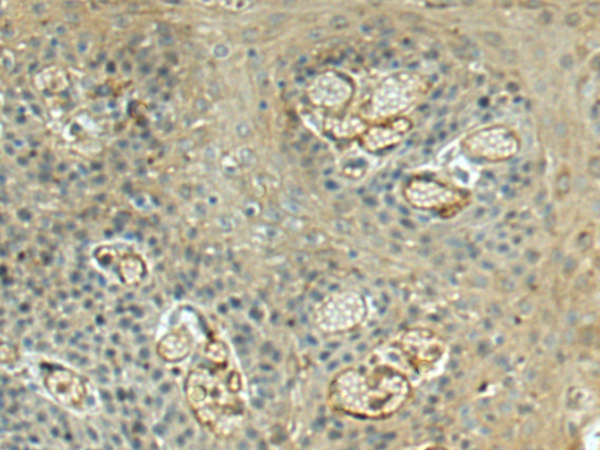
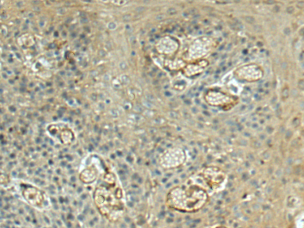
IHC positive control:
Human liver cancer and Human tonsil
IHC Recommend dilution:
150-300
WB Predicted band size:
87 kDa
WB Positive control:
Mouse kidney tissue lysate
WB Recommended dilution:
500-2000
技術規格


購物車
幫助
021-54845833/15800441009
