中文名稱: 兔抗MKI67/ki67多克隆抗體
英文名稱: Anti-MKI67 rabbit polyclonal antibody
別 名: KIA; MIB-; MIB-1; PPP1R105
相關類別: 一抗
儲 存: 冷凍(-20℃)
宿 主: Rabbit
抗 原: MKI67
反應種屬: Human
標 記 物: Unconjugate
克隆類型: rabbit polyclonal
技術規格
|
Background: |
This gene encodes a nuclear protein that is associated with and may be necessary for cellular proliferation. Alternatively spliced transcript variants have been described. A related pseudogene exists on chromosome X. |
|
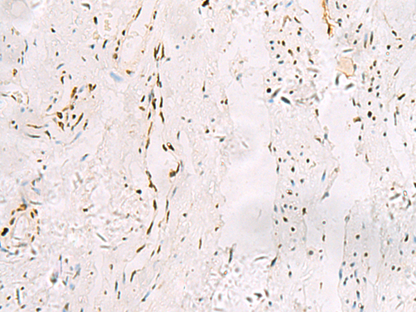
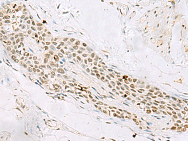
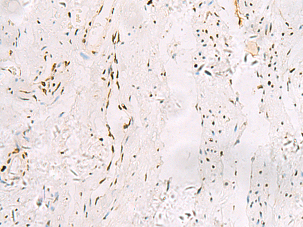
Applications: |
ELISA, IHC |
|
Name of antibody: |
MKI67 |
|
Immunogen: |
Synthetic peptide of human MKI67 |
|
Full name: |
marker of proliferation Ki-67 |
|
Synonyms: |
KIA; MIB-; MIB-1; PPP1R105 |
|
SwissProt: |
P46013 |
|
ELISA Recommended dilution: |
5000-10000 |
|
IHC positive control: |
Human esophagus cancer and Human cervical cancer |
|
IHC Recommend dilution: |
25-50 |


購物車
幫助
021-54845833/15800441009
