中文名稱: 兔抗ACSF2多克隆抗體
| 
					 Background:  | 
				
					 Acyl-CoA synthases catalyze the initial reaction in fatty acid metabolism, by forming a thioester with CoA. Has some preference toward medium-chain substrates. Plays a role in adipocyte differentiation.  | 
			
| 
					 Applications:  | 
				
					 ELISA, IHC  | 
			
| 
					 Name of antibody:  | 
				
					 ACSF2  | 
			
| 
					 Immunogen:  | 
				
					 Fusion protein of human ACSF2  | 
			
| 
					 Full name:  | 
				
					 acyl-CoA synthetase family member 2  | 
			
| 
					 Synonyms:  | 
				
					 ACSMW; AVYV493  | 
			
| 
					 SwissProt:  | 
				
					 Q96CM8  | 
			
| 
					 ELISA Recommended dilution:  | 
				
					 5000-10000  | 
			
| 
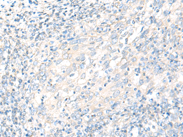
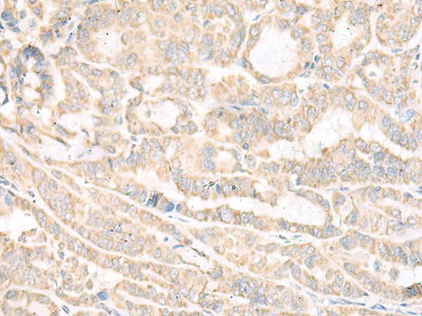
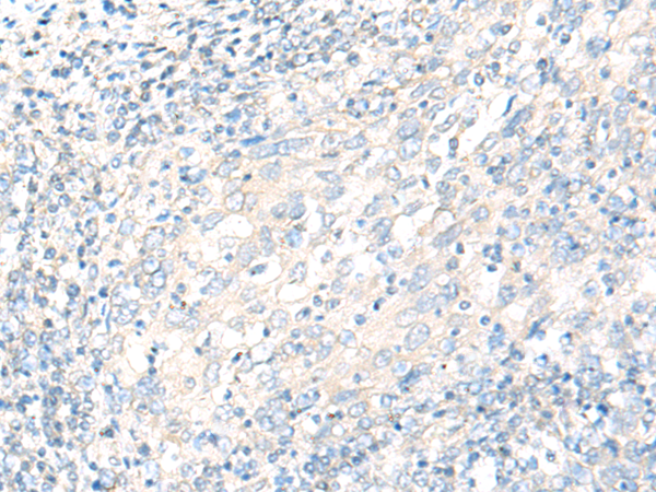
					 IHC positive control:  | 
				
					 Human thyroid cancer and Human cervical cancer  | 
			
| 
					 IHC Recommend dilution:  | 
				
					 30-150  | 
			
	
	
 
	
 
	
 
	
 
購物車
幫助
021-54845833/15800441009
              