|
Background: |
EF-CAB5(EF-hand calcium-binding domain-containing protein 5) is a 1,503 amino acid protein containing one EF-hand domain. Existing as four alternatively spliced isoforms, the gene encoding EF-CAB5 maps to human chromosome 17q11.2. Chromosome 17 makes up over 2.5% of the human genome with about 81 million bases encoding over 1,200 genes. Two key tumor suppressor genes are associated with chromosome 17, namely p53 and BRCA1. Tumor suppressor p53 is necessary for maintenance of cellular genetic integrity by moderating cell fate through DNA repair versus cell death. Malfunction or loss of p53 expression is associated with malignant cell growth and LiFraumeni syndrome. Like p53, BRCA1 is directly involved in DNA repair, specifically it is recognized as a genetic determinant of early onset breast cancer and predisposition to cancers of the ovary, colon, prostate gland and fallopian tubes. Alexander disease, Birt-Hogg-Dube syndrome and Canavan disease are also associated with chromosome 17. |
|
Applications: |
ELISA, IHC |
|
Name of antibody: |
EFCAB5 |
|
Immunogen: |
Synthetic peptide of human EFCAB5 |
|
Full name: |
EF-hand calcium binding domain 5 |
|
SwissProt: |
A4FU69 |
|
ELISA Recommended dilution: |
5000-10000 |
|
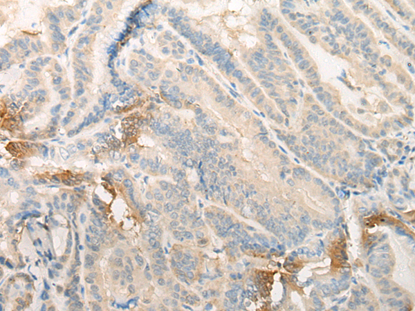
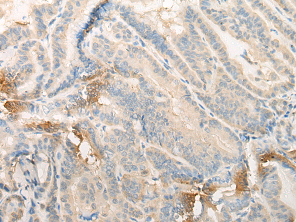
IHC positive control: |
Human thyroid cancer; |
|
IHC Recommend dilution: |
25-100 |
購物車
幫助
021-54845833/15800441009
